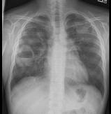
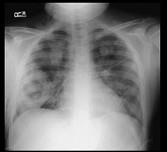
男,35岁,发热,贫血,血尿,既往有副鼻窦炎,结合X线图像,最可能的诊断是 ( )A.肺脓肿B.周围型肺癌C.肺转移瘤D.肺结核E...

作者: rantiku 人气: - 评论: 0
问题 男,35岁,发热,贫血,血尿,既往有副鼻窦炎,结合X线图像,最可能的诊断是 ( )
选项 A.肺脓肿 B.周围型肺癌 C.肺转移瘤 D.肺结核 E.韦格肉芽肿
答案 E
解析

猜你喜欢

发表评论
更多 网友评论0 条评论)
暂无评论

访问排行

Copyright © 2012-2014 恰考网 Inc. 保留所有权利。 Powered by tikuer.com

页面耗时0.0331秒, 内存占用1.03 MB, Cache:redis,访问数据库16次