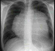
男,8岁,胸闷,气急,查体见颈静脉显露,胸片如图,最可能的诊断是 ( )A.心包积液B.心肌炎C.淋巴瘤D.房间隔缺损E.肺静脉异位引流

作者: rantiku 人气: - 评论: 0
问题 男,8岁,胸闷,气急,查体见颈静脉显露,胸片如图,最可能的诊断是 ( )
选项 A.心包积液 B.心肌炎 C.淋巴瘤 D.房间隔缺损 E.肺静脉异位引流
答案 C
解析

猜你喜欢

发表评论
更多 网友评论0 条评论)
暂无评论

访问排行

Copyright © 2012-2014 恰考网 Inc. 保留所有权利。 Powered by tikuer.com

页面耗时0.0333秒, 内存占用1.03 MB, Cache:redis,访问数据库17次