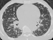
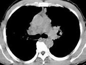
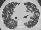
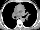
男,38岁,咳嗽,咳痰,关节疼痛,外周淋巴结肿大,结合CT图像,最可能的诊断是 ( )A.肺泡蛋白沉积症B.肺间质病C.结节病...

作者: rantiku 人气: - 评论: 0
问题 男,38岁,咳嗽,咳痰,关节疼痛,外周淋巴结肿大,结合CT图像,最可能的诊断是 ( )
选项 A.肺泡蛋白沉积症 B.肺间质病 C.结节病 D.肺结核 E.霍奇金病
答案 C
解析

猜你喜欢

发表评论
更多 网友评论0 条评论)
暂无评论

访问排行

Copyright © 2012-2014 恰考网 Inc. 保留所有权利。 Powered by tikuer.com

页面耗时0.0389秒, 内存占用1.03 MB, Cache:redis,访问数据库18次