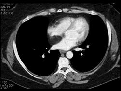
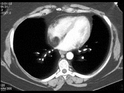
女,35岁,心前区不适,无发热及呼吸困难,请结合CT图像,提出最可能的诊断 ( )A.脂肪肉瘤B.脂肪瘤C.心包憩室D.心包囊肿E...

作者: rantiku 人气: - 评论: 0
问题 女,35岁,心前区不适,无发热及呼吸困难,请结合CT图像,提出最可能的诊断 ( )
选项 A.脂肪肉瘤 B.脂肪瘤 C.心包憩室 D.心包囊肿 E.心包脂肪垫
答案 B
解析

猜你喜欢

发表评论
更多 网友评论0 条评论)
暂无评论

访问排行

Copyright © 2012-2014 恰考网 Inc. 保留所有权利。 Powered by tikuer.com

页面耗时0.0488秒, 内存占用1.03 MB, Cache:redis,访问数据库17次