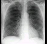
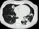
68岁男性,咳嗽流涕1周入院,临床诊断为肺中叶综合征。支气管镜见多发结节状突起,从气管前壁伸入至右肺下叶支气管如图,影像检查如图。可能的诊断是 ( )...

作者: rantiku 人气: - 评论: 0
问题 68岁男性,咳嗽流涕1周入院,临床诊断为肺中叶综合征。支气管镜见多发结节状突起,从气管前壁伸入至右肺下叶支气管如图,影像检查如图。可能的诊断是 ( )
选项 A.肺结核 B.支气管肺癌 C.原发性气管支气管淀粉样变 D.肺炎 E.支气管内膜结核
答案 C
解析

猜你喜欢

发表评论
更多 网友评论0 条评论)
暂无评论

访问排行

Copyright © 2012-2014 恰考网 Inc. 保留所有权利。 Powered by tikuer.com

页面耗时0.0390秒, 内存占用1.03 MB, Cache:redis,访问数据库19次