男,58岁,有高血压病史,突发胸背剧痛,CT扫描如图,其最可能的诊断为 ( )A.主动脉瘤B.主动脉假性动脉瘤C.主动脉窦瘤破裂D...

作者: rantiku 人气: - 评论: 0
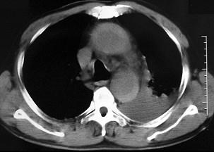
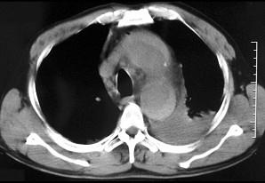
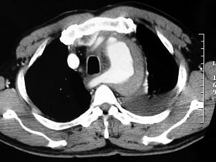
问题 男,58岁,有高血压病史,突发胸背剧痛,CT扫描如图,其最可能的诊断为 ( )
选项 A.主动脉瘤 B.主动脉假性动脉瘤 C.主动脉窦瘤破裂 D.高安氏病 E.主动脉夹层动脉瘤
答案 E
解析

猜你喜欢

发表评论
更多 网友评论0 条评论)
暂无评论

访问排行

Copyright © 2012-2014 恰考网 Inc. 保留所有权利。 Powered by tikuer.com

页面耗时0.0352秒, 内存占用1.03 MB, Cache:redis,访问数据库15次