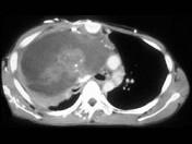
男,37岁,咳嗽,咯血2月余,偶尔咳出钙化物,请结合影像学检查,选出最可能的诊断 ( )A.畸胎瘤B.肺癌C.胸腺瘤D.淋巴管瘤E...

作者: rantiku 人气: - 评论: 0
问题 男,37岁,咳嗽,咯血2月余,偶尔咳出钙化物,请结合影像学检查,选出最可能的诊断 ( )
选项 A.畸胎瘤 B.肺癌 C.胸腺瘤 D.淋巴管瘤 E.淋巴瘤
答案 A
解析

猜你喜欢

发表评论
更多 网友评论0 条评论)
暂无评论

访问排行

Copyright © 2012-2014 恰考网 Inc. 保留所有权利。 Powered by tikuer.com

页面耗时0.0384秒, 内存占用1.03 MB, Cache:redis,访问数据库20次