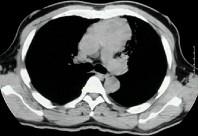
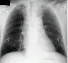
男,26岁,自觉肌无力2周,胸片检查见纵隔增宽,CT检查如,最可能的诊断为 ( )A.上纵隔畸胎瘤B.胸内甲状腺瘤C.中纵隔胸腺瘤侵犯血管...

作者: rantiku 人气: - 评论: 0
问题 男,26岁,自觉肌无力2周,胸片检查见纵隔增宽,CT检查如,最可能的诊断为 ( )
选项 A.上纵隔畸胎瘤 B.胸内甲状腺瘤 C.中纵隔胸腺瘤侵犯血管 D.淋巴瘤侵犯血管 E.下纵隔畸胎瘤
答案 C
解析

猜你喜欢

发表评论
更多 网友评论0 条评论)
暂无评论

访问排行

Copyright © 2012-2014 恰考网 Inc. 保留所有权利。 Powered by tikuer.com

页面耗时0.0491秒, 内存占用1.03 MB, Cache:redis,访问数据库20次