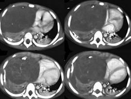
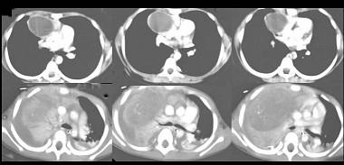
14岁,男,胸闷咳嗽1个月,曾咳出过毛发,CT检查如图,请选择最可能的诊断 ( )A.纵隔血肿B.胸内甲状腺肿C.胸腺囊肿D.畸胎瘤 ...

作者: rantiku 人气: - 评论: 0
问题 14岁,男,胸闷咳嗽1个月,曾咳出过毛发,CT检查如图,请选择最可能的诊断 ( )
选项 A.纵隔血肿 B.胸内甲状腺肿 C.胸腺囊肿 D.畸胎瘤 E.食管囊肿
答案 D
解析

猜你喜欢

发表评论
更多 网友评论0 条评论)
暂无评论

访问排行

Copyright © 2012-2014 恰考网 Inc. 保留所有权利。 Powered by tikuer.com

页面耗时0.0416秒, 内存占用1.03 MB, Cache:redis,访问数据库19次