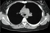
47岁男性,咳嗽、胸痛、痰中带血、消瘦4个月,支气管镜、CT如图,可能的诊断是 ( )A.肺结核B.肉芽肿C.支气管脂肪瘤D.错构瘤 ...

作者: rantiku 人气: - 评论: 0
问题 47岁男性,咳嗽、胸痛、痰中带血、消瘦4个月,支气管镜、CT如图,可能的诊断是 ( )
选项 A.肺结核 B.肉芽肿 C.支气管脂肪瘤 D.错构瘤 E.气管癌
答案 E
解析

猜你喜欢

发表评论
更多 网友评论0 条评论)
暂无评论

访问排行

Copyright © 2012-2014 恰考网 Inc. 保留所有权利。 Powered by tikuer.com

页面耗时0.0412秒, 内存占用1.03 MB, Cache:redis,访问数据库19次