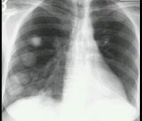
女,48岁,胸痛1周,结合影像图像选择最可能的诊断为 ( )A.肺转移瘤B.韦格肉芽肿C.肺类风湿病D.多发性肺脓肿E.肺癌

作者: rantiku 人气: - 评论: 0
问题 女,48岁,胸痛1周,结合影像图像选择最可能的诊断为 ( )
选项 A.肺转移瘤 B.韦格肉芽肿 C.肺类风湿病 D.多发性肺脓肿 E.肺癌
答案 A
解析

猜你喜欢

发表评论
更多 网友评论0 条评论)
暂无评论

访问排行

Copyright © 2012-2014 恰考网 Inc. 保留所有权利。 Powered by tikuer.com

页面耗时0.0433秒, 内存占用1.03 MB, Cache:redis,访问数据库18次