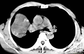
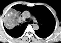
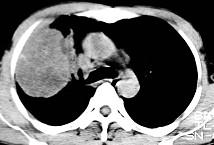
根据所提供的图像,选择最可能的诊断 ( )A.肺内软骨肉瘤B.胸膜间皮瘤C.球形肺炎D.机化性肺炎E.局限性不张

作者: rantiku 人气: - 评论: 0
问题 根据所提供的图像,选择最可能的诊断 ( )
选项 A.肺内软骨肉瘤 B.胸膜间皮瘤 C.球形肺炎 D.机化性肺炎 E.局限性不张
答案 A
解析

猜你喜欢

发表评论
更多 网友评论0 条评论)
暂无评论

访问排行

Copyright © 2012-2014 恰考网 Inc. 保留所有权利。 Powered by tikuer.com

页面耗时0.0371秒, 内存占用1.03 MB, Cache:redis,访问数据库20次