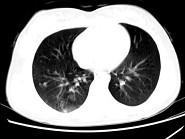
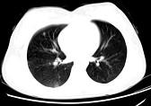
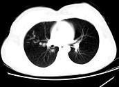
女,24岁,HCG阳性,咯血2天,行胸部CT扫描如图,其最可能的诊断为 ( )A.转移性绒癌B.肺部感染C.肺结核D.肺血管瘤...

作者: rantiku 人气: - 评论: 0
问题 女,24岁,HCG阳性,咯血2天,行胸部CT扫描如图,其最可能的诊断为 ( )
选项 A.转移性绒癌 B.肺部感染 C.肺结核 D.肺血管瘤 E.肺淋巴管肌瘤
答案 A
解析

猜你喜欢

发表评论
更多 网友评论0 条评论)
暂无评论

访问排行

Copyright © 2012-2014 恰考网 Inc. 保留所有权利。 Powered by tikuer.com

页面耗时0.0801秒, 内存占用1.03 MB, Cache:redis,访问数据库16次