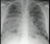
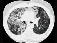
24岁女性,咳嗽、进行性胸闷、气促2月,支气管镜如图,镜下可见大量米汁样分泌物。影像学检查如图。可能的诊断是 ( )A.肺泡蛋白沉积症B....

作者: rantiku 人气: - 评论: 0
问题 24岁女性,咳嗽、进行性胸闷、气促2月,支气管镜如图,镜下可见大量米汁样分泌物。影像学检查如图。可能的诊断是 ( )
选项 A.肺泡蛋白沉积症 B.支气管扩张 C.肺炎 D.肺结核 E.先天性肺囊肿
答案 A
解析

猜你喜欢

发表评论
更多 网友评论0 条评论)
暂无评论

访问排行

Copyright © 2012-2014 恰考网 Inc. 保留所有权利。 Powered by tikuer.com

页面耗时0.0635秒, 内存占用1.03 MB, Cache:redis,访问数据库20次