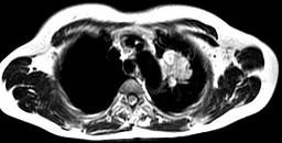
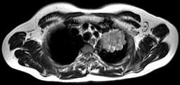
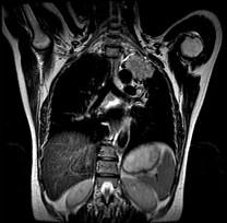
男,68岁,声音嘶哑半个月,行MRI检查如图,其最可能的诊断为 ( )A.右上肺癌B.左上肺结核球C.左上肺炎性假瘤D.左上肺...

作者: rantiku 人气: - 评论: 0
问题 男,68岁,声音嘶哑半个月,行MRI检查如图,其最可能的诊断为 ( )
选项 A.右上肺癌 B.左上肺结核球 C.左上肺炎性假瘤 D.左上肺癌 E.左上肺动静脉瘤
答案 D
解析
发表评论
更多 网友评论0 条评论)
暂无评论

访问排行

Copyright © 2012-2014 恰考网 Inc. 保留所有权利。 Powered by tikuer.com

页面耗时0.0302秒, 内存占用1.03 MB, Cache:redis,访问数据库19次