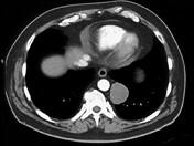
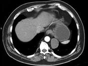
男,33岁,背部不适,无发热,结合CT图像,选择最可能的诊断是 ( )A.椎旁脓肿B.神经源性肿瘤C.脑脊膜膨出D.食管囊肿E.淋巴瘤

作者: rantiku 人气: - 评论: 0
问题 男,33岁,背部不适,无发热,结合CT图像,选择最可能的诊断是 ( )
选项 A.椎旁脓肿 B.神经源性肿瘤 C.脑脊膜膨出 D.食管囊肿 E.淋巴瘤
答案 B
解析

猜你喜欢

发表评论
更多 网友评论0 条评论)
暂无评论

访问排行

Copyright © 2012-2014 恰考网 Inc. 保留所有权利。 Powered by tikuer.com

页面耗时0.0393秒, 内存占用1.03 MB, Cache:redis,访问数据库20次