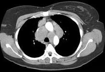
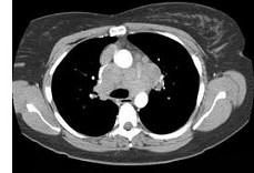
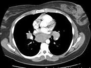
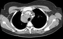
女,33岁,咳嗽,乏力,低热,皮肤有结节,结合CT图像,最可能的诊断是 ( )A.肺结核B.霍奇金病C.非霍奇金病D.结节病 ...

作者: rantiku 人气: - 评论: 0
问题 女,33岁,咳嗽,乏力,低热,皮肤有结节,结合CT图像,最可能的诊断是 ( )
选项 A.肺结核 B.霍奇金病 C.非霍奇金病 D.结节病 E.肺癌
答案 D
解析

猜你喜欢

发表评论
更多 网友评论0 条评论)
暂无评论

访问排行

Copyright © 2012-2014 恰考网 Inc. 保留所有权利。 Powered by tikuer.com

页面耗时0.0398秒, 内存占用1.03 MB, Cache:redis,访问数据库18次