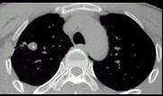
男性,25岁,低热、咳嗽2个月。胸部CT见图,最可能的诊断是 ( )A.急性血行播散型肺结核B.肺结核球C.肺癌D.肺脓肿E.支气管扩张

作者: rantiku 人气: - 评论: 0
问题 男性,25岁,低热、咳嗽2个月。胸部CT见图,最可能的诊断是 ( )
选项 A.急性血行播散型肺结核 B.肺结核球 C.肺癌 D.肺脓肿 E.支气管扩张
答案 B
解析

猜你喜欢

发表评论
更多 网友评论0 条评论)
暂无评论

访问排行

Copyright © 2012-2014 恰考网 Inc. 保留所有权利。 Powered by tikuer.com

页面耗时0.0444秒, 内存占用1.03 MB, Cache:redis,访问数据库18次