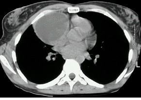
女,18岁,自感胸闷,X光检查见纵隔占位,CT检查如图,最可能的诊断为 ( )A.纵隔畸胎瘤B.上纵隔胸腺瘤C.胸内甲状腺瘤D.淋巴瘤...

作者: rantiku 人气: - 评论: 0
问题 女,18岁,自感胸闷,X光检查见纵隔占位,CT检查如图,最可能的诊断为 ( )
选项 A.纵隔畸胎瘤 B.上纵隔胸腺瘤 C.胸内甲状腺瘤 D.淋巴瘤 E.下纵隔胸腺瘤
答案 A
解析

猜你喜欢

发表评论
更多 网友评论0 条评论)
暂无评论

访问排行

Copyright © 2012-2014 恰考网 Inc. 保留所有权利。 Powered by tikuer.com

页面耗时0.0381秒, 内存占用1.03 MB, Cache:redis,访问数据库15次