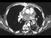
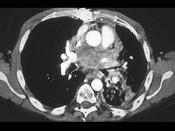
男,45岁,咳嗽,咯血2月余,有20余年吸烟史,请结合影像学检查,选出最可能的诊断 ( )A.肺结核B.小细胞肺癌C.肺脓肿D.肺囊肿...

作者: rantiku 人气: - 评论: 0
问题 男,45岁,咳嗽,咯血2月余,有20余年吸烟史,请结合影像学检查,选出最可能的诊断 ( )
选项 A.肺结核 B.小细胞肺癌 C.肺脓肿 D.肺囊肿 E.肺错构瘤
答案 B
解析

猜你喜欢

发表评论
更多 网友评论0 条评论)
暂无评论

访问排行

Copyright © 2012-2014 恰考网 Inc. 保留所有权利。 Powered by tikuer.com

页面耗时0.0507秒, 内存占用1.03 MB, Cache:redis,访问数据库13次