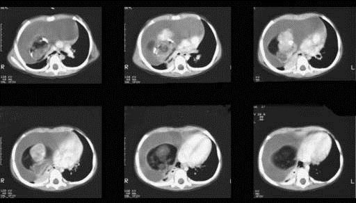
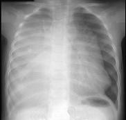
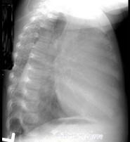
12岁,女,咳嗽、咯血1个月,咳出毛发、钙化物,请结合图片,选择最可能的诊断 ( )A.肺间质纤维化B.肺曲菌病C.肺结核D.畸胎...

作者: rantiku 人气: - 评论: 0
问题 12岁,女,咳嗽、咯血1个月,咳出毛发、钙化物,请结合图片,选择最可能的诊断 ( )
选项 A.肺间质纤维化 B.肺曲菌病 C.肺结核 D.畸胎瘤 E.肺癌
答案 D
解析

猜你喜欢

发表评论
更多 网友评论0 条评论)
暂无评论

访问排行

Copyright © 2012-2014 恰考网 Inc. 保留所有权利。 Powered by tikuer.com

页面耗时0.0758秒, 内存占用1.03 MB, Cache:redis,访问数据库19次