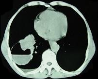
男,76岁,胸痛伴咳嗽,咯血低热1个月,CT检查如图,最可能的诊断为 ( )A.右下肺脓肿B.右下肺癌伴空洞形成C.右下肺囊肿D....

作者: rantiku 人气: - 评论: 0
问题 男,76岁,胸痛伴咳嗽,咯血低热1个月,CT检查如图,最可能的诊断为 ( )
选项 A.右下肺脓肿 B.右下肺癌伴空洞形成 C.右下肺囊肿 D.右下肺包虫病 E.右侧包裹性积液
答案 B
解析

猜你喜欢

发表评论
更多 网友评论0 条评论)
暂无评论

访问排行

Copyright © 2012-2014 恰考网 Inc. 保留所有权利。 Powered by tikuer.com

页面耗时0.0379秒, 内存占用1.03 MB, Cache:redis,访问数据库19次