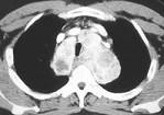
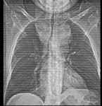
男,41岁,体检X线提示纵隔增宽,CT检查如图,请选出最可能的诊断 ( )A.淋巴瘤B.纵隔畸胎瘤C.胸腺瘤D.间皮囊肿E.胸内甲状腺肿

作者: rantiku 人气: - 评论: 0
问题 男,41岁,体检X线提示纵隔增宽,CT检查如图,请选出最可能的诊断 ( )
选项 A.淋巴瘤 B.纵隔畸胎瘤 C.胸腺瘤 D.间皮囊肿 E.胸内甲状腺肿
答案 E
解析

猜你喜欢

发表评论
更多 网友评论0 条评论)
暂无评论

访问排行

Copyright © 2012-2014 恰考网 Inc. 保留所有权利。 Powered by tikuer.com

页面耗时0.0377秒, 内存占用1.03 MB, Cache:redis,访问数据库20次