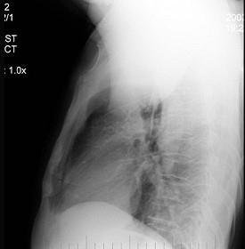
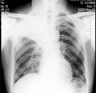
男性患者,52岁,体检胸片如图,最明确的是 ( )A.右上肺不张B.胸膜肥厚C.包裹性积液D.炎症E.支气管扩张

作者: rantiku 人气: - 评论: 0
问题 男性患者,52岁,体检胸片如图,最明确的是 ( )
选项 A.右上肺不张 B.胸膜肥厚 C.包裹性积液 D.炎症 E.支气管扩张
答案 A
解析

猜你喜欢

发表评论
更多 网友评论0 条评论)
暂无评论

访问排行

Copyright © 2012-2014 恰考网 Inc. 保留所有权利。 Powered by tikuer.com

页面耗时0.0379秒, 内存占用1.03 MB, Cache:redis,访问数据库20次