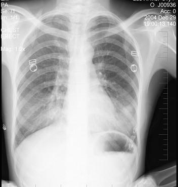
女性患者,31岁,咳嗽发热1周,胸片检查如图,最明确的诊断是 ( )A.两肺结核B.两肺炎症C.两侧胸膜炎D.两肺不张E.双侧支气管扩张

作者: rantiku 人气: - 评论: 0
问题 女性患者,31岁,咳嗽发热1周,胸片检查如图,最明确的诊断是 ( )
选项 A.两肺结核 B.两肺炎症 C.两侧胸膜炎 D.两肺不张 E.双侧支气管扩张
答案 B
解析

猜你喜欢

发表评论
更多 网友评论0 条评论)
暂无评论

访问排行

Copyright © 2012-2014 恰考网 Inc. 保留所有权利。 Powered by tikuer.com

页面耗时0.0347秒, 内存占用1.03 MB, Cache:redis,访问数据库19次