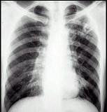
男性,18岁,发热1个月,体温37.538.5℃,抗感染治疗无好转,消瘦明显,胸片见图,最可能的诊断是 ( )A.肺门淋巴结核B.淋巴瘤C.结...

作者: rantiku 人气: - 评论: 0
问题 男性,18岁,发热1个月,体温37.538.5℃,抗感染治疗无好转,消瘦明显,胸片见图,最可能的诊断是 ( )
选项 A.肺门淋巴结核 B.淋巴瘤 C.结节病 D.肺癌,淋巴结转移 E.原发性肺结核
答案 E
解析

猜你喜欢

发表评论
更多 网友评论0 条评论)
暂无评论

访问排行

Copyright © 2012-2014 恰考网 Inc. 保留所有权利。 Powered by tikuer.com

页面耗时0.0325秒, 内存占用1.03 MB, Cache:redis,访问数据库19次