女性,20岁,高热20天,伴乏力、盗汗、食欲减退及干咳。胸片见图。最可能的诊断是 ( )A.肺结核球B.急性血行播散型肺结核C.肺癌D...

作者: rantiku 人气: - 评论: 0
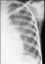
问题 女性,20岁,高热20天,伴乏力、盗汗、食欲减退及干咳。胸片见图。最可能的诊断是 ( )
选项 A.肺结核球 B.急性血行播散型肺结核 C.肺癌 D.肺脓肿 E.支气管扩张
答案 B
解析

猜你喜欢

发表评论
更多 网友评论0 条评论)
暂无评论

访问排行

Copyright © 2012-2014 恰考网 Inc. 保留所有权利。 Powered by tikuer.com

页面耗时0.0367秒, 内存占用1.03 MB, Cache:redis,访问数据库20次