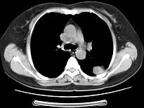
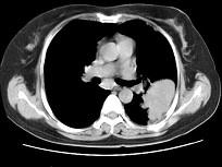
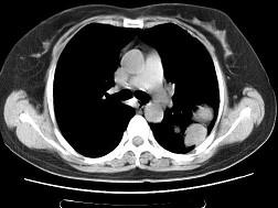
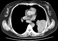
女,52岁,左侧背痛1月,胸部CT如图,最可能的诊断为 ( )A.左肺中央型肺癌B.左肺周围型肺癌C.左肺感染D.左肺炎性假瘤...

作者: rantiku 人气: - 评论: 0
问题 女,52岁,左侧背痛1月,胸部CT如图,最可能的诊断为 ( )
选项 A.左肺中央型肺癌 B.左肺周围型肺癌 C.左肺感染 D.左肺炎性假瘤 E.肺隔离征
答案 D
解析

猜你喜欢

发表评论
更多 网友评论0 条评论)
暂无评论

访问排行

Copyright © 2012-2014 恰考网 Inc. 保留所有权利。 Powered by tikuer.com

页面耗时0.0362秒, 内存占用1.03 MB, Cache:redis,访问数据库18次