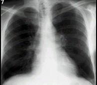
女性,55岁,慢性咳嗽、咳痰、气喘,15年。肘静脉压20cmH0。胸部X线见图。最可能的诊断是 ( )A.原发性肺动脉高压症B.房间隔缺损C....

作者: rantiku 人气: - 评论: 0
问题 女性,55岁,慢性咳嗽、咳痰、气喘,15年。肘静脉压20cmH0。胸部X线见图。最可能的诊断是 ( )
选项 A.原发性肺动脉高压症 B.房间隔缺损 C.原发性肌病 D.慢性肺源性心脏病 E.以上均不是
答案 D
解析

猜你喜欢

发表评论
更多 网友评论0 条评论)
暂无评论

访问排行

Copyright © 2012-2014 恰考网 Inc. 保留所有权利。 Powered by tikuer.com

页面耗时0.0410秒, 内存占用1.03 MB, Cache:redis,访问数据库19次