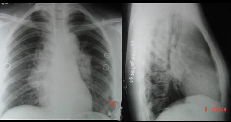
男性,45岁,确诊结节病,胸部X线示肺部弥漫性病变不伴有肺门淋巴结增大,见图应属 ( )A.结节病0期B.结节病Ⅰ期C.结节病Ⅱ期D.结节...

作者: rantiku 人气: - 评论: 0
问题 男性,45岁,确诊结节病,胸部X线示肺部弥漫性病变不伴有肺门淋巴结增大,见图应属 ( )
选项 A.结节病0期 B.结节病Ⅰ期 C.结节病Ⅱ期 D.结节病Ⅲ期 E.结节病Ⅳ期
答案 D
解析

猜你喜欢

发表评论
更多 网友评论0 条评论)
暂无评论

访问排行

Copyright © 2012-2014 恰考网 Inc. 保留所有权利。 Powered by tikuer.com

页面耗时0.0555秒, 内存占用1.03 MB, Cache:redis,访问数据库17次