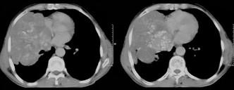
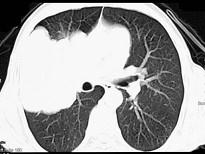
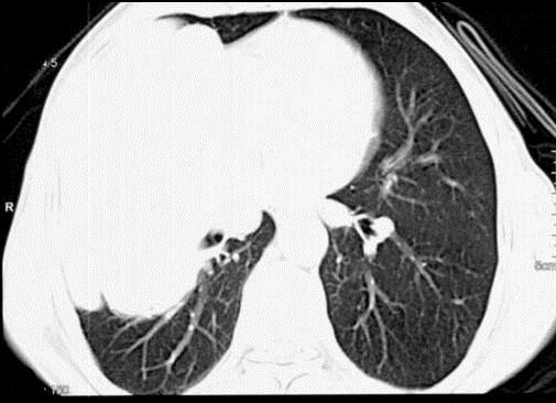
50岁,男性,右侧胸痛、咳嗽、咯血3个月,请结合图像选择最可能的诊断 ( )A.纵隔肿瘤B.肺结核C.肺癌D.胸膜间皮瘤E...

作者: rantiku 人气: - 评论: 0
问题 50岁,男性,右侧胸痛、咳嗽、咯血3个月,请结合图像选择最可能的诊断 ( )
选项 A.纵隔肿瘤 B.肺结核 C.肺癌 D.胸膜间皮瘤 E.韦格肉芽肿
答案 C
解析

猜你喜欢

发表评论
更多 网友评论0 条评论)
暂无评论

访问排行

Copyright © 2012-2014 恰考网 Inc. 保留所有权利。 Powered by tikuer.com

页面耗时0.0374秒, 内存占用1.03 MB, Cache:redis,访问数据库17次