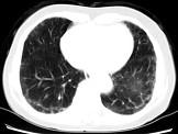
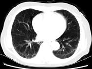
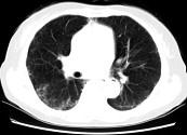
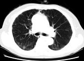
女,35岁,咳嗽,咳痰,发热3月余,胸部CT如图,最可能的诊断为 ( )A.类风湿肺炎B.红斑狼疮性肺炎C.间质性肺炎D.肺结...

作者: rantiku 人气: - 评论: 0
问题 女,35岁,咳嗽,咳痰,发热3月余,胸部CT如图,最可能的诊断为 ( )
选项 A.类风湿肺炎 B.红斑狼疮性肺炎 C.间质性肺炎 D.肺结节病 E.肺部感染
答案 C
解析

猜你喜欢

发表评论
更多 网友评论0 条评论)
暂无评论

访问排行

Copyright © 2012-2014 恰考网 Inc. 保留所有权利。 Powered by tikuer.com

页面耗时0.0457秒, 内存占用1.03 MB, Cache:redis,访问数据库18次