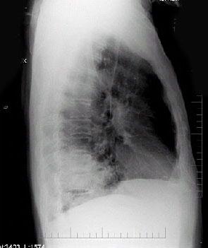
男性,62岁,咳嗽、胸痛1月,X线检查如图,最佳的诊断是 ( )A.右下肺炎症B.右下肺不张C.右肺癌D.右肺转移瘤E.右胸腔积液

作者: rantiku 人气: - 评论: 0
问题 男性,62岁,咳嗽、胸痛1月,X线检查如图,最佳的诊断是 ( )
选项 A.右下肺炎症 B.右下肺不张 C.右肺癌 D.右肺转移瘤 E.右胸腔积液
答案 C
解析

猜你喜欢

发表评论
更多 网友评论0 条评论)
暂无评论

访问排行

Copyright © 2012-2014 恰考网 Inc. 保留所有权利。 Powered by tikuer.com

页面耗时0.0416秒, 内存占用1.03 MB, Cache:redis,访问数据库18次