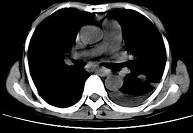
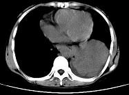
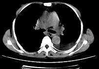
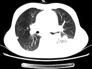
女,55岁,胸痛伴咯血丝痰1周,胸部CT如图,最可能的诊断为 ( )A.转移性肺癌B.左侧周围型肺癌并肺内转移C.左侧中央型肺癌并...

作者: rantiku 人气: - 评论: 0
问题 女,55岁,胸痛伴咯血丝痰1周,胸部CT如图,最可能的诊断为 ( )
选项 A.转移性肺癌 B.左侧周围型肺癌并肺内转移 C.左侧中央型肺癌并肺内转移 D.多发性肺脓肿 E.结节病
答案 B
解析

猜你喜欢

发表评论
更多 网友评论0 条评论)
暂无评论

访问排行

Copyright © 2012-2014 恰考网 Inc. 保留所有权利。 Powered by tikuer.com

页面耗时0.0391秒, 内存占用1.03 MB, Cache:redis,访问数据库19次