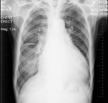
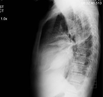
患者女性,70岁,胸闷、气逼数年,无明显发热、胸痛,如图最可能的诊断是 ( )A.心包积液并右水平裂积液B.心包积液并右下肺炎C.心包积液...

作者: rantiku 人气: - 评论: 0
问题 患者女性,70岁,胸闷、气逼数年,无明显发热、胸痛,如图最可能的诊断是 ( )
选项 A.心包积液并右水平裂积液 B.心包积液并右下肺炎 C.心包积液并右斜裂积液 D.心包积液并右双叶间裂积液 E.气胸
答案 D
解析

猜你喜欢

发表评论
更多 网友评论0 条评论)
暂无评论

访问排行

Copyright © 2012-2014 恰考网 Inc. 保留所有权利。 Powered by tikuer.com

页面耗时0.0507秒, 内存占用1.03 MB, Cache:redis,访问数据库20次