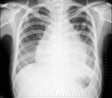
女,24岁,干咳1个月出现胸闷气急,活动时明显,查体颈静脉显露,胸片如图,最可能的诊断为 ( )A.先天性房间隔缺损B.心包积液C.室间隔...

作者: rantiku 人气: - 评论: 0
问题 女,24岁,干咳1个月出现胸闷气急,活动时明显,查体颈静脉显露,胸片如图,最可能的诊断为 ( )
选项 A.先天性房间隔缺损 B.心包积液 C.室间隔缺损 D.扩张性心肌病 E.法洛氏四联征
答案 B
解析

猜你喜欢

发表评论
更多 网友评论0 条评论)
暂无评论

访问排行

Copyright © 2012-2014 恰考网 Inc. 保留所有权利。 Powered by tikuer.com

页面耗时0.0650秒, 内存占用1.03 MB, Cache:redis,访问数据库18次