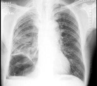
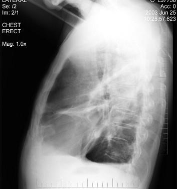
男性患者,62岁,常感胸闷、气逼,X线检查如图,最可能的诊断是 ( )A.右侧肺大疱B.右侧气胸C.右侧肺脓肿D.右侧胸膜肥厚E.气胸

作者: rantiku 人气: - 评论: 0
问题 男性患者,62岁,常感胸闷、气逼,X线检查如图,最可能的诊断是 ( )
选项 A.右侧肺大疱 B.右侧气胸 C.右侧肺脓肿 D.右侧胸膜肥厚 E.气胸
答案 A
解析

猜你喜欢

发表评论
更多 网友评论0 条评论)
暂无评论

访问排行

Copyright © 2012-2014 恰考网 Inc. 保留所有权利。 Powered by tikuer.com

页面耗时0.0451秒, 内存占用1.03 MB, Cache:redis,访问数据库19次