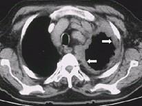
男,54岁,胸痛1月伴加重,CT如图,应考虑为 ( )A.淋巴瘤B.左侧胸膜转移瘤C.左侧胸膜间皮瘤D.左侧胸膜增厚E.左上肺不张伴胸膜增厚

作者: rantiku 人气: - 评论: 0
问题 男,54岁,胸痛1月伴加重,CT如图,应考虑为 ( )
选项 A.淋巴瘤 B.左侧胸膜转移瘤 C.左侧胸膜间皮瘤 D.左侧胸膜增厚 E.左上肺不张伴胸膜增厚
答案 C
解析

猜你喜欢

发表评论
更多 网友评论0 条评论)
暂无评论

访问排行

Copyright © 2012-2014 恰考网 Inc. 保留所有权利。 Powered by tikuer.com

页面耗时0.0347秒, 内存占用1.03 MB, Cache:redis,访问数据库19次