患者男,34岁。进行性胸闷、气促1个月余,伴有干咳、右胸隐痛以及消瘦,无咯血、发热、盗汗、潮热等。(提示 胸部X线检查如图所示)考虑患者目前出...

作者: rantiku 人气: - 评论: 0
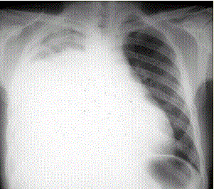
问题 患者男,34岁。进行性胸闷、气促1个月余,伴有干咳、右胸隐痛以及消瘦,无咯血、发热、盗汗、潮热等。 (提示 胸部X线检查如图所示) 考虑患者目前出现的情况是(提示 为解决患者胸闷、气促症状,给予胸腔插管引流胸腔积液,一次性放出淡黄色胸腔积液约1 800 ml。患者引流后自觉气促症状减轻,但半小时后渐觉胸闷、呼吸困难再次加重,剧咳伴咳大量泡沫样痰。查体:端坐呼吸,口唇发绀,双肺满布湿性啰音,心率130次/min,律齐。)
选项 A.急性肺血栓栓塞症 B.急性呼吸窘迫综合征 C.肺复张后肺水肿 D.胸膜反应 E.医源性气胸 F.急性左心衰竭 G.胸腔内出血
答案 C
解析 C

猜你喜欢

发表评论
更多 网友评论0 条评论)
暂无评论

访问排行

Copyright © 2012-2014 恰考网 Inc. 保留所有权利。 Powered by tikuer.com

页面耗时0.0572秒, 内存占用1.03 MB, Cache:redis,访问数据库15次