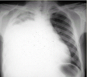
患者男,34岁。进行性胸闷、气促1个月余,伴有干咳、右胸隐痛以及消瘦,无咯血、发热、盗汗、潮热等。(提示 胸部X线检查如图所示)目前的处理措施...

作者: rantiku 人气: - 评论: 0
问题 患者男,34岁。进行性胸闷、气促1个月余,伴有干咳、右胸隐痛以及消瘦,无咯血、发热、盗汗、潮热等。 (提示 胸部X线检查如图所示) 目前的处理措施正确的是
选项 A.高流量吸氧 B.给予紧急配血和输血 C.使用糖皮质激素 D.静脉溶栓 E.静脉给予利尿药 F.静脉给予肾上腺素 G.加快胸腔积液的引流 H.静脉给予广谱抗生素 I.紧急外科手术 J.必要时机械通气
答案 ACEJ
解析 ACEJ

猜你喜欢

发表评论
更多 网友评论0 条评论)
暂无评论

访问排行

Copyright © 2012-2014 恰考网 Inc. 保留所有权利。 Powered by tikuer.com

页面耗时0.0447秒, 内存占用1.03 MB, Cache:redis,访问数据库19次