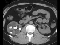
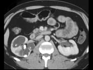
女,45岁,右腰部疼痛伴血尿,请根据所示图像,选择最可能诊断 ( )A、右肾积水B、右肾结石合并右肾盏扩张积水C、右肾出血D、右肾结石...

作者: rantiku 人气: - 评论: 0
问题 女,45岁,右腰部疼痛伴血尿,请根据所示图像,选择最可能诊断 ( )
选项 A、右肾积水 B、右肾结石合并右肾盏扩张积水 C、右肾出血 D、右肾结石 E、右肾结核
答案 B
解析

猜你喜欢

发表评论
更多 网友评论0 条评论)
暂无评论
错误啦!

错误信息

  • 消息: [程序异常] : MISCONF Redis is configured to save RDB snapshots, but it's currently unable to persist to disk. Commands that may modify the data set are disabled, because this instance is configured to report errors during writes if RDB snapshotting fails (stop-writes-on-bgsave-error option). Please check the Redis logs for details about the RDB error.
  • 文件: /twcms/kongphp/cache/cache_redis.class.php
  • 位置: 第 85 行
    <?php echo 'KongPHP, Road to Jane.'; ?>