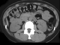
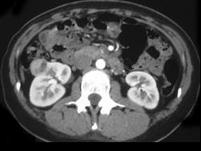
男,58岁,无痛性肉眼血尿1个月余,请结合CT图像作出诊断 ( )A、右肾血管平滑肌脂肪瘤B、右肾黄色肉芽肿性肾盂肾炎C、右侧囊性肾癌...

作者: rantiku 人气: - 评论: 0
问题 男,58岁,无痛性肉眼血尿1个月余,请结合CT图像作出诊断 ( )
选项 A、右肾血管平滑肌脂肪瘤 B、右肾黄色肉芽肿性肾盂肾炎 C、右侧囊性肾癌 D、右肾结核性肉芽肿 E、右侧肾癌
答案 E
解析

猜你喜欢

发表评论
更多 网友评论0 条评论)
暂无评论

访问排行

Copyright © 2012-2014 恰考网 Inc. 保留所有权利。 Powered by tikuer.com

页面耗时0.0430秒, 内存占用1.03 MB, Cache:redis,访问数据库19次