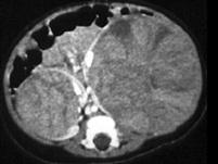
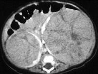
男,2岁,触及腹部包块,未及肿大淋巴结,请根据所示图像,选择最可能诊断 ( )A、双侧肾癌B、双肾神经母细胞瘤C、双肾转移瘤D、双侧肾...

作者: rantiku 人气: - 评论: 0
问题 男,2岁,触及腹部包块,未及肿大淋巴结,请根据所示图像,选择最可能诊断 ( )
选项 A、双侧肾癌 B、双肾神经母细胞瘤 C、双肾转移瘤 D、双侧肾母细胞瘤(Wilms瘤) E、双肾淋巴瘤
答案 D
解析

猜你喜欢

发表评论
更多 网友评论0 条评论)
暂无评论
错误啦!

错误信息

  • 消息: [程序异常] : MISCONF Redis is configured to save RDB snapshots, but it's currently unable to persist to disk. Commands that may modify the data set are disabled, because this instance is configured to report errors during writes if RDB snapshotting fails (stop-writes-on-bgsave-error option). Please check the Redis logs for details about the RDB error.
  • 文件: /twcms/kongphp/cache/cache_redis.class.php
  • 位置: 第 85 行
    <?php echo 'KongPHP, Road to Jane.'; ?>