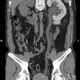
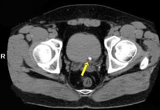
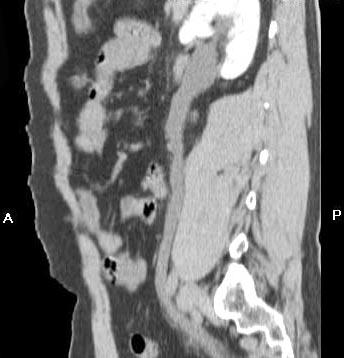
男,29岁,下腹部疼痛不适伴血尿2 月,CT检查如图,下列说法错误的是 ( )A、考虑为盆腔静脉石B、考虑为左输尿管下端结石C、左侧输...

作者: rantiku 人气: - 评论: 0
问题 男,29岁,下腹部疼痛不适伴血尿2 月,CT检查如图,下列说法错误的是 ( )
选项 A、考虑为盆腔静脉石 B、考虑为左输尿管下端结石 C、左侧输尿管扩张 D、左肾积水 E、左侧输尿管末端膀胱入口处可见一高密度影
答案 A
解析

猜你喜欢

发表评论
更多 网友评论0 条评论)
暂无评论

访问排行

Copyright © 2012-2014 恰考网 Inc. 保留所有权利。 Powered by tikuer.com

页面耗时0.0488秒, 内存占用1.03 MB, Cache:redis,访问数据库19次