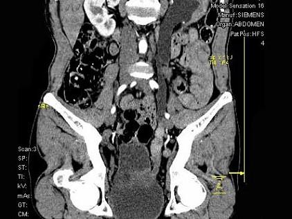
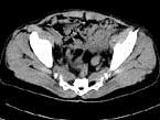
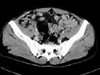
男,46岁,无痛性血尿2个月,CT扫描如图所示,应诊断为 ( )A、左侧输尿管结石B、左侧输尿管血块C、左侧输尿管炎D、左侧输尿管...

作者: rantiku 人气: - 评论: 0
问题 男,46岁,无痛性血尿2个月,CT扫描如图所示,应诊断为 ( )
选项 A、左侧输尿管结石 B、左侧输尿管血块 C、左侧输尿管炎 D、左侧输尿管癌 E、左侧输尿管结核
答案 D
解析

猜你喜欢

发表评论
更多 网友评论0 条评论)
暂无评论

访问排行

Copyright © 2012-2014 恰考网 Inc. 保留所有权利。 Powered by tikuer.com

页面耗时0.0459秒, 内存占用1.03 MB, Cache:redis,访问数据库14次