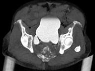
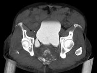
男,67岁,排尿困难1年余,加重1个月,请结合下列图片作出诊断 ( )A、膀胱结核B、膀胱炎C、输尿管囊肿D、膀胱结石E、膀胱憩室

作者: rantiku 人气: - 评论: 0
问题 男,67岁,排尿困难1年余,加重1个月,请结合下列图片作出诊断 ( )
选项 A、膀胱结核 B、膀胱炎 C、输尿管囊肿 D、膀胱结石 E、膀胱憩室
答案 E
解析

猜你喜欢

发表评论
更多 网友评论0 条评论)
暂无评论

访问排行

Copyright © 2012-2014 恰考网 Inc. 保留所有权利。 Powered by tikuer.com

页面耗时0.0379秒, 内存占用1.03 MB, Cache:redis,访问数据库20次