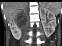
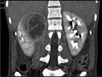
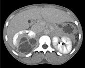
女,32岁,右腰部疼痛伴高热,请根据所示图像,选择最可能诊断 ( )A、右肾囊肿合并感染B、右侧急性肾盂肾炎C、右肾结核D、右...

作者: rantiku 人气: - 评论: 0
问题 女,32岁,右腰部疼痛伴高热,请根据所示图像,选择最可能诊断 ( )
选项 A、右肾囊肿合并感染 B、右侧急性肾盂肾炎 C、右肾结核 D、右肾脓肿 E、右肾囊性肾癌
答案 D
解析

猜你喜欢

发表评论
更多 网友评论0 条评论)
暂无评论
错误啦!

错误信息

  • 消息: [程序异常] : MISCONF Redis is configured to save RDB snapshots, but it's currently unable to persist to disk. Commands that may modify the data set are disabled, because this instance is configured to report errors during writes if RDB snapshotting fails (stop-writes-on-bgsave-error option). Please check the Redis logs for details about the RDB error.
  • 文件: /twcms/kongphp/cache/cache_redis.class.php
  • 位置: 第 85 行
    <?php echo 'KongPHP, Road to Jane.'; ?>