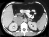
男,65岁,全身浅表淋巴结肿大,请根据所示图像,选择最可能诊断 ( )A、左肾外伤出血B、尿外渗C、左肾转移瘤D、淋巴瘤左肾周浸润E、...

作者: rantiku 人气: - 评论: 0
问题 男,65岁,全身浅表淋巴结肿大,请根据所示图像,选择最可能诊断 ( )
选项 A、左肾外伤出血 B、尿外渗 C、左肾转移瘤 D、淋巴瘤左肾周浸润 E、左侧肾癌
答案 D
解析

猜你喜欢

发表评论
更多 网友评论0 条评论)
暂无评论

访问排行

Copyright © 2012-2014 恰考网 Inc. 保留所有权利。 Powered by tikuer.com

页面耗时0.0531秒, 内存占用1.03 MB, Cache:redis,访问数据库20次