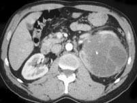
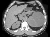
女,48岁,左腰部胀痛不适2个月余,请根据所示图像,选择最可能诊断 ( )A、左侧肾脓肿B、左侧肾积水C、左侧肾囊肿D、左侧多囊肾...

作者: rantiku 人气: - 评论: 0
问题 女,48岁,左腰部胀痛不适2个月余,请根据所示图像,选择最可能诊断 ( )
选项 A、左侧肾脓肿 B、左侧肾积水 C、左侧肾囊肿 D、左侧多囊肾 E、左侧囊性肾癌
答案 E
解析

猜你喜欢

发表评论
更多 网友评论0 条评论)
暂无评论

访问排行

Copyright © 2012-2014 恰考网 Inc. 保留所有权利。 Powered by tikuer.com

页面耗时0.0466秒, 内存占用1.02 MB, Cache:redis,访问数据库14次