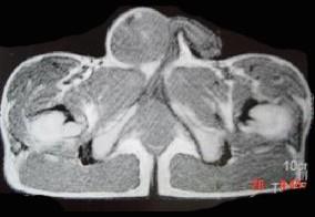
29岁男性患者,右侧睾丸肿痛5个多月,行MRI检查,如图所示,T1加权见右侧阴囊内见球形肿块,呈中等信号,其内信号不均,T2加权肿块为高信号,最可能的结果...

作者: rantiku 人气: - 评论: 0
问题 29岁男性患者,右侧睾丸肿痛5个多月,行MRI检查,如图所示,T1加权见右侧阴囊内见球形肿块,呈中等信号,其内信号不均,T2加权肿块为高信号,最可能的结果是 ( )
选项 A、皮样囊肿 B、畸胎癌 C、睾丸结核 D、畸胎瘤 E、精原细胞瘤
答案 E
解析

猜你喜欢

发表评论
更多 网友评论0 条评论)
暂无评论

访问排行

Copyright © 2012-2014 恰考网 Inc. 保留所有权利。 Powered by tikuer.com

页面耗时0.0425秒, 内存占用1.03 MB, Cache:redis,访问数据库17次